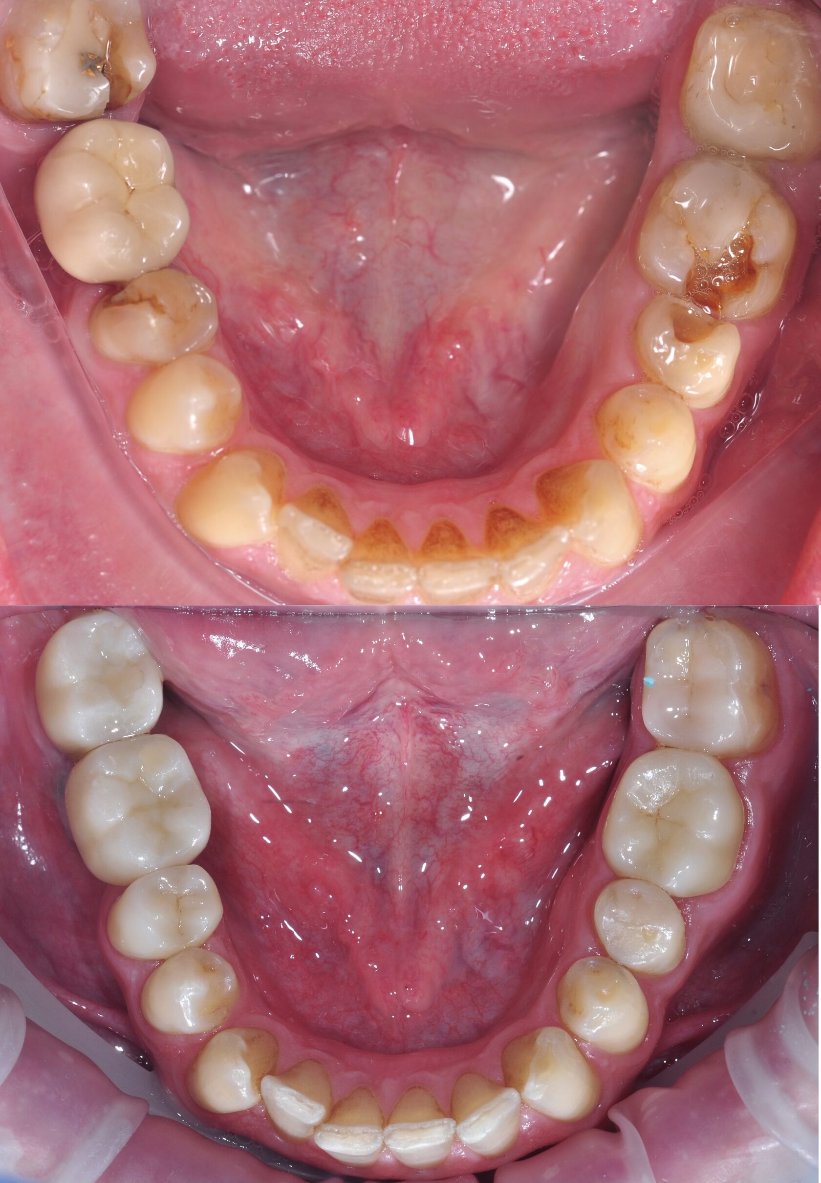
Было:
🔹 Глубокий кариес – из-за редкой чистки зубов и любви к сладкому.
🔹 Сколы зубов – последствия травм и отсутствия своевременного лечения.
🔹 Потеря зубов – запущенный кариес перерос в кариес корня, пришлось удалять.
🔹 Необходимость протезирования – жевать стало сложно, улыбаться – стыдно.
Как так вышло?
❌ Игнорировал профилактику – не ходил к стоматологу годами.
❌ Чистил зубы кое-как – мягкий налёт затвердел в камень, а под камнем образовался кариес.
❌ Не лечил сколы – трещины привели к разрушению зубов.
❌ Боялся имплантатов – думал, что это больно и дорого, но тянул до последнего.
Решение:
✅ Лечение кариеса и пульпита – спасли то, что ещё можно было сохранить.
✅ Восстановление сколов – композитные реставрации вернули зубам форму.
✅ Имплантация и протезирование – теперь пациент снова может жевать без боли и улыбаться без стеснения!
✅ Гигиена и уход
Профессиональная чистка – ультразвук + AirFlow, чтобы убрать налет и камень, также подобрали индивидуальные средства и научили правильно чистить зубы.
Результат:
✨ Здоровые зубы – никакой боли и дискомфорта!
✨ Красивая улыбка – уверенность в себе вернулась.
✨ Удобное протезирование – импланты ощущаются как свои зубы.
Не ждите, пока станет хуже! Запишитесь на консультацию – вернём здоровье вашим зубам вовремя. 💙
🔹 Глубокий кариес – из-за редкой чистки зубов и любви к сладкому.
🔹 Сколы зубов – последствия травм и отсутствия своевременного лечения.
🔹 Потеря зубов – запущенный кариес перерос в кариес корня, пришлось удалять.
🔹 Необходимость протезирования – жевать стало сложно, улыбаться – стыдно.
Как так вышло?
❌ Игнорировал профилактику – не ходил к стоматологу годами.
❌ Чистил зубы кое-как – мягкий налёт затвердел в камень, а под камнем образовался кариес.
❌ Не лечил сколы – трещины привели к разрушению зубов.
❌ Боялся имплантатов – думал, что это больно и дорого, но тянул до последнего.
Решение:
✅ Лечение кариеса и пульпита – спасли то, что ещё можно было сохранить.
✅ Восстановление сколов – композитные реставрации вернули зубам форму.
✅ Имплантация и протезирование – теперь пациент снова может жевать без боли и улыбаться без стеснения!
✅ Гигиена и уход
Профессиональная чистка – ультразвук + AirFlow, чтобы убрать налет и камень, также подобрали индивидуальные средства и научили правильно чистить зубы.
Результат:
✨ Здоровые зубы – никакой боли и дискомфорта!
✨ Красивая улыбка – уверенность в себе вернулась.
✨ Удобное протезирование – импланты ощущаются как свои зубы.
Не ждите, пока станет хуже! Запишитесь на консультацию – вернём здоровье вашим зубам вовремя. 💙
